Hantingtonova bolest je redak, nasledni genetski poremećaj, kod kojeg ljudi gube sposobnost da razmišljaju i kontrolišu pokrete.
O Hantingtonvoj bolesti
Hantingtonova bolest je nasledni poremećaj koji dovodi do laganog propadanja mozga.1,2 Tokom godina, osoba sa Hantingtonovom bolešću osetiće nekontrolisane pokrete, emocionalne poremećaje i gubitak mentalnih sposobnosti.1,2 Konačno, ljudi sa Hantingtonovom bolešću postaju potpuno zavisni od staratelja.3 To prebacuje veliki teret na pleća staratelja, koji je obično član porodice.
Hantingtonova bolest je genetski poremećaj. Ukoliko jedan roditelj ima bolest, njihovo dete ima 50% šansi da nasledi defektan gen Hantingtonove bolesti.1,2 Svako ko ima ovaj defektan gen, razviće simptome bolesti.3
Simptomi
Znaci i simptomi Hantingtonove bolesti najčešće se pojavljuju u srednjim godinama, iako oni variraju od osobe do osobe.1,2 Kada se bolest pojavi, kod pacijenta će se manifestovati promene u ponašanju i ličnosti, uključujući depresiju, razdražljivost i anksioznost.2 Kako bolest napreduje, mogu se pojaviti ozbiljni problemi sa pamćenjem.2
Horea je najčešći simptom Hantingtonove bolesti i često je inicijalni uzrok zabrinutosti koji pacijenta dovodi kod lekara.2 Horea se sastoji od spazmičnih, nevoljnih pokreta gornjih i donjih ekstremiteta, lica ili tela. Reč horea potiče od grčke reči za ples, s obzirom na to da se ljudi sa horeom često izvijaju, uvrću i okreću u konstantnim nekontrolisanim pokretima, poput plesa.
Statistike
Prema Svetskoj zdravstvenoj organizaciji, na svakih 100.000 ljudi u zapadnim zemljama, od 5 do 7 će oboleti od Hantingtonove bolesti.3
Hantingtonova bolest je genetski poremećaj koji može da pogodi i muškarce i žene svih etničkih grupa.3 Bolest se pojavljuje širom sveta, međutim, postoje geografska područja u kojima je neuobičajeno učestala.4
Ne postoje tačne procene broja novih slučajeva na godišnjem nivou.4
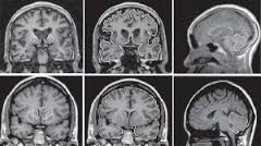
Postavljanje dijagnoze i lečenje
Ukoliko osoba oseti promene u pokretima, emocionalnom stanju ili mentalnoj sposobnosti, trebalo bi da konsultuje lekara. Iako porodični lekar može da dijagnostikuje Hantingtonovu bolest, većina ljudi će otići kod neurologa da potvrde dijagnozu i potraže pomoć u rešavanju različitih simptoma. Hantingtonova bolest se, po pravilu, dijagnostikuje neurološkim pregledom, uključujući imidžing tehnike mozga ili genetsko testiranje, kao i pregled porodične anamneze.
Postoji genetski test za Hantingtonovu bolest, koji se može upotrebiti za potvrđivanje dijagnoze, kao i za prepoznavanje budućih rizika za osobe koje imaju Hantingtonovu bolest u porodici.1,2 Preporučuje se da genetski test bude praćen savetovanjem, pošto pozitivna dijagnoza može biti emocionalno razarajuća.1,2
Dostupni su lekovi za terapiju simptoma Hantingtonove bolesti. Međutim, trenutno ne postoji lek koji dovodi do potpunog izlečenja, a prosečan životni vek, nakon postavljanja dijagnoze, jeste od 15 do 20 godina.1
Od izuzetnog je značaja da osobe sa Hantingtonovom bolešću, u vezi sa svojim lečenjem, dobiju savet od stručnjaka.
Lunbeck


